診療案内
一般歯科
患者様の気持ちに寄り添い、できるだけ歯を残す丁寧な治療を心がけています。
でぐち歯科では、虫歯や歯周病の治療をはじめとした一般的な歯科診療を行っております。ただ痛みを取るだけではなく、一本一本の歯を大切に、将来を見据えた治療をご提案しています。
「痛みがあるけど怖くて行けない」「何をされるかわからなくて不安」そんな方も、まずはお口の状態を一緒に確認し、わかりやすく丁寧に治療内容を説明いたします。無理に削ったり、抜いたりすることはありませんので、安心してご来院ください。
虫歯・歯周病治療
歯が痛い、しみる、詰め物が取れた、歯ぐきが腫れる・血が出るといった症状はありませんか?
それらを放置してしまうと、症状は悪化し、治療期間も長くなってしまいます。
でぐち歯科では、症状の原因をしっかり見極め、できるだけ少ない通院回数での改善を目指します。
早めの受診が大切です。
フッ素塗布(フッソ)
フッ素は、初期の虫歯を再石灰化(修復)する効果があり、虫歯予防に有効です。
特にお子様の生えたての歯にはフッ素を塗ることで歯質を強くし、虫歯になりにくくします。
3ヶ月~半年に一度のフッ素塗布がおすすめです。
フッ素はあくまで予防手段のひとつなので、日々の歯磨きや食生活もあわせて見直しましょう。
シーラント
奥歯のかむ面の溝は食べかすが溜まりやすく、虫歯になりやすい部分です。
シーラントは、その溝を専用の樹脂でコーティングし、虫歯を防ぐ方法です。
歯を削ることなく行える処置で痛みもありません。
ただし、経年ではがれることがあるため、定期的なチェックをおすすめします。
ご自身の歯を少しでも長く健康に保つために、早めのご相談と予防ケアが大切です。
気になる症状がありましたら、お気軽にお問い合わせください。
訪問歯科
通院が難しい方のために、でぐち歯科がご自宅や施設へ伺います。
高齢やご病気などで歯科医院への通院が困難な方のために、でぐち歯科では訪問歯科診療(往診)を行っています。
歯科医師・歯科衛生士がご自宅や施設へ伺い、普段の診療と同様の歯科医療サービスをご提供いたします。
このような方におすすめです
- ご高齢で通院が困難な方
- 寝たきり・介護が必要な方
- ご自宅で療養中の方
- 病院や施設で歯科治療を希望される方
医療保険・介護保険の適用も可能です。
必要に応じてケアマネージャー様やご家族とも連携を取りながら、安心して受けていただける診療を心がけています。
寝たきり・要介護の方も安心して受けられる歯科診療
ご自身での口腔ケアが難しい方にとって、歯の健康は全身の健康にも直結します。
お口の中を清潔に保つことで、食事がしやすくなるのはもちろん、誤嚥性肺炎などのリスクも軽減されます。
でぐち歯科では、虫歯や歯周病の治療だけでなく、入れ歯の調整・作製、口腔ケア(お口の清掃)など、患者様一人ひとりの状態に合わせた診療を丁寧に行っています。
小児歯科
お子様の健やかな歯の成長を、やさしく丁寧にサポートします
お子様の歯は大人の歯と比べてやわらかく、虫歯になりやすい特徴があります。
また、乳歯の健康は、これから生えてくる永久歯や噛み合わせ、さらには全身の成長にも大きな影響を与える大切なものです。
でぐち歯科では、お子様の歯の健康を守るための予防と早期治療に力を入れています。
お子様にやさしい歯医者さんを目指して
歯科医院が「怖いところ」「痛いところ」になってしまうと、お子様は通院を嫌がるようになってしまいます。
でぐち歯科では、初めての歯医者さんでも安心して通っていただけるように、無理な治療は行わず、リラックスできる雰囲気づくりを心がけています。
治療前にはしっかりと説明を行い、お子様の様子を見ながら、少しずつ慣れていけるようサポートいたします。
小児歯科で行っている主な内容
虫歯予防・治療
早期発見・早期治療を心がけ、お子様の歯をなるべく削らずに治します。
フッ素塗布
歯の質を強くし、虫歯になりにくくする効果があります。3〜6ヶ月に一度の塗布がおすすめです。
シーラント処置
奥歯の溝を専用の樹脂でふさぎ、虫歯を予防します。痛みのない処置です。
歯みがき指導
ご家庭でも正しいブラッシングができるよう、年齢に応じた指導を行います。保護者の方へのサポートも大切にしています。
定期健診
生え変わりのチェックや噛み合わせの確認も含め、継続的に診ていくことで健康な口腔環境を育てます。
小児歯科の診察費について
でぐち歯科では、お子様が安心して歯科診療を受けられるよう、診察費のご負担が軽減される制度をご利用いただけます。
津市を含む三重県内では、中学生まで(15歳の年度末まで)のお子様について、保険診療の自己負担額が無料となっています。
また、所得制限もありませんので、どのご家庭でも対象となります。
診察時には、「子ども医療費受給者証」をご提示ください。
さらに、津市では妊産婦の方に対する医療費助成制度もあり、一定期間、歯科診療の自己負担が軽減されます。詳しくは津市のホームページまたは受付までお気軽にお尋ねください。
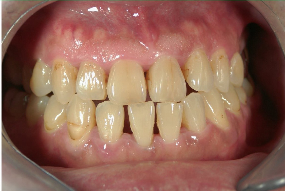
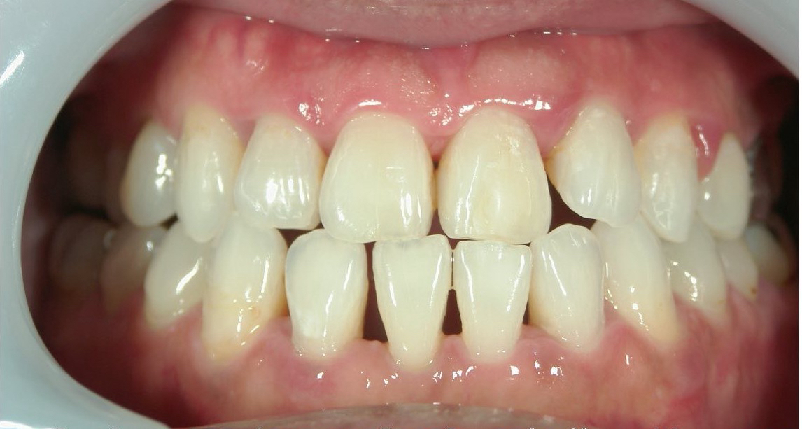
ホワイトニング
歯を削らずに、もっと輝く笑顔へ
最近、歯の色が気になっていませんか?
加齢や遺伝、コーヒーやお茶・ワインなどの飲み物、食生活の影響で、歯は少しずつ黄ばんでしまいます。
でぐち歯科では、そんな黄ばみを歯を削ることなく白くする「ホワイトニング治療」を行っています。
「もっと自信のある笑顔になりたい」「清潔感をアップさせたい」そんな方におすすめです。
ホワイトニングは、歯の表面に薬剤を塗布して歯の内部に働きかけ、自然な白さを引き出していく方法です。
見た目の印象が変わるだけでなく、気分も明るくなったという声も多くいただいています。
ホワイトニングの診察費について
ホワイトニングは健康保険の対象外となるため、自由診療(自費診療)となります。
費用は30,000円(税込)で、施術期間の目安は約2週間です。
ご不明な点がございましたら、よくあるご質問をご覧いただくか、お気軽にお問い合わせください。
ホームホワイトニングについてのご注意
- 妊娠中・授乳中の方、お子様への施術は行っておりません。
- 無カタラーゼ症の方、またエナメル質形成不全症・象牙質形成不全症と診断されている方は、安全上ホワイトニングを受けることができません。
- さし歯や神経を抜いた歯(失活歯)は、ホワイトニングでは白くなりません。
白さを希望される場合は、セラミックなどのかぶせ物での対応をご検討いただくことをおすすめします。
ホワイトニングの流れ
-
Step 01
カウンセリングとお口の検査
最初にお口の中の状態を確認し、ホワイトニングについて丁寧にご説明いたします。
現在の歯の色もチェックし、ご不安な点があればこの段階でしっかりお伺いしますので、ご安心ください。 -
Step 02
歯のクリーニング
ホワイトニング効果を高めるために、歯の表面に付着した汚れをクリーニングします。
歯の表面を清潔に整えることで、薬剤の浸透がスムーズになります。 -
Step 03
マウストレーの作製
歯型をとって、専用のマウストレー(ホワイトニング用)をお作りします。
完成したトレーとホワイトニングジェルはご自宅での使用用としてお渡しします。 -
Step 04
ご自宅でホワイトニング開始
歯科医院での説明に沿って、ご自宅でホワイトニングをスタートしていただきます。
マウストレーにジェルを入れ、指定の時間装着するだけで簡単にケアが行えます。 -
Step 05
経過のチェックと完了
効果の確認のため、通院にて経過をチェックします。
目安は約2週間ですが、白さの実感には個人差がありますので、ご相談しながら進めていきます。


